Наши кости будут крепче


Изменение экологических условий и образа жизни человека привело к появлению новых болезней. Больше всего от этого страдают дети, чей неокрепший организм, ослабленный недостатком жизненно необходимых минералов и витаминов, с трудом справляется с возрастающими нагрузками на костную систему. К подобным заболеваниям относятся остеопороз различного генеза, остеомиелит, костная киста, остеохондроз, остеохондропатия, травматологические и патологические переломы конечностей и тому подобное.               

Творческий коллектив (слева направо): Г.Н. Коныгин, П.Н. Максимов, Е.П. Елсуков, О.В. Яковенко (ст.преподаватель ИГМА), А.Н. Филиппов (травматолог-ортопед 2 детской городской клинической больницы), Н.С. Стрелков, В.В. Поздеев. (травматолог-ортопед 2 детской городской клинической больницы).    Физико-технический институт УрО РАН совместно с Ижевской государственной медицинской академией (ИГМА) и Республиканской детской клинической больницей Ижевска (РДКБ) вот уже два года проводит интенсивные научные исследования, направленные на поиск эффективных, дешевых и, соответственно, доступных как для лечебных учреждений, так и для пациентов методов лечения заболеваний костного скелета. Общее руководство исследованиями осуществляет ректор ИГМА доктор медицинских наук, профессор, заведующий кафедрой хирургических болезней детского возраста Н.С. Стрелков. Со стороны ФТИ работа ведется в возглавляемой доктором физико-математических наук, профессором, лауреатом Государственной премии РФ Е.П. Елсуковым лаборатории физики неравновесных металлических систем под руководством автора этих строк.

Два года назад ваш покорный слуга, кандидат медицинских наук, доцент ИГМА Е.П. Тюлькин, доктор медицинских наук, профессор ИГМА В.В. Поздеев и хирург-ортопед РДКБ П.Н. Максимов предложили руководству ФТИ УрО РАН и ИГМА инициативный проект по получению, исследованию и клинической апробации механически модифицированных препаратов кальция. Было принято решение о проведении совместных комплексных исследований.

С точки зрения Всемирной организации здравоохранения (ВОЗ) проблема остеопороза является для человечества глобальной и напрямую связана с продолжительностью жизни. Согласно данным ВОЗ, остеопороз как причина инвалидизации и смертности от переломов костей занимает четвертое место среди неинфекционных заболеваний, уступая лишь заболеваниям сердечно-сосудистой системы, онкологической патологии и сахарному диабету. Это очень распространенное заболевание как в развитых, так и в развивающихся странах, причем его частота быстро растет. За год в мире происходит более 1,5 миллионов переломов шейки бедра. Увеличивается число детей с заболеваниями костных тканей начиная с самого раннего возраста (менее 1 года). Одним из наиболее часто встречающихся заболеваний скелета в детском возрасте являются костные кисты. По данным разных авторов их частота составляет от 20 до 75% всей костной патологии у детей.

Существуют консервативные (безоперационные) и оперативные методы лечения костных кист. Консервативные методы – это пункции, дренирование, введение различных препаратов, воздействующих на содержимое кисты или непосредственно на ее выстилку, введение стимуляторов остеогенеза, склерозирующих препаратов, а также ортопедическая профилактика. Четких критериев и показаний для проведения такого консервативного лечения в отечественной и зарубежной литературе нет. Более того, эффективность и рациональность используемых методов вызывают сомнение. Поэтому наиболее часто для лечения костных кист применяются костно-пластические операции: протезирование или пломбировка дефектов костных тканей. Однако оперативное лечение не дает устойчивого положительного результата, так как не влияет на патогенез заболевания, что до 32% случаев приводит к рецидивам и дальнейшему прогрессированию болезни.

Важную роль в лечении такого типа заболеваний играют лекарственные препараты, содержащие кальций. Препараты кальция нужны и для профилактики костных заболеваний у людей пожилого возраста и женщин в период беременности и после родов. Однако усваиваются они организмом не очень хорошо.

Сегодня для модификации и механохимического синтеза лекарственных препаратов широко применяется метод механоактивации. В России исследования в этой области ведутся под руководством академика РАН, лауреата Государственной премии РФ В.В. Болдырева. Известно, что обработка в высокоэнергетических измельчительных устройствах позволяет получить быстрорастворимые, усвояемые и более эффективные медицинские препараты, например, быстрорастворимый аспирин. Однако оказалось, что никто в мире не занимался проблемой механохимического синтеза и механического модифицирования лекарственных препаратов кальция. Поэтому было решено провести инициативную работу по модифицированию методом механоактивации официнальных лекарственных препаратов кальция, их исследование на наличие или отсутствие противопоказаний к применению и апробацию для лечения гипокальциемий и заболеваний костных тканей. На первом этапе главным было выяснить, насколько эффективными могут быть модифицированные лекарственные препараты.

Для проведения первичного эксперимента была выбрана таблетированная форма официнального лекарственного препарата кальция глюконата. Исследования показали, что механическое измельчение не загрязняет измельчаемый препарат материалом используемых измельчающих тел и не меняет его элементного химического состава. В результате обработки препарат из кристаллического состояния переходит в рентгеноаморфное. При этом диапазон размера частиц порошка составил от 50 до 500 нм. Каких-либо значимых изменений химического состава и каких-либо критических химических превращений с образованием принципиально новых соединений не произошло. Следовательно, данный препарат можно рассматривать как механоактивированный аморфизированный кальция глюконат. Ожидалось, что наноразмерные рентгеноаморфные частицы будут иметь повышенную биохимическую активность и соответственно повышенную биоусвояемость организмом. Измерения рН препарата показали справедливость данного предположения. Было обнаружено, что при растворении таблетки кальция глюконата в свежеприготовленной дистиллированной воде рН раствора не изменяется и равно 6,5 (дистиллированная вода имела рН 6,53), а при растворении модифицированного препарата рН возрос до 9.                

Отсутствие образования каких-либо принципиально иных химических соединений и, следовательно, противопоказаний к применению механоактивированного кальция глюконата позволило провести его клиническую апробацию. Амбулаторно и стационарно на базе детской консультативной поликлиники Республиканской детской клинической больницы и 2-й детской городской клинической больницы в 2003–2004 гг. проводилось лечение двух групп больных детей.

В первой группе находилось 15 детей с ювенильной формой системного остеопороза. Возраст больных составлял от 12 до 16 лет. В этой группе клинические проявления были в виде боли в пояснице, голеностопных, коленных и тазобедренных суставах на фоне полного здоровья. Рентгенологически отчетливо прослеживался остеопороз. В сыворотке крови отмечали гипокальциемию 1,4–1,8 ммоль/л, (при норме 2,4–2,6 ммоль/л).

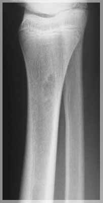
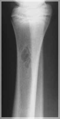
Во второй группе было 11 детей с диагнозами: костная киста трубчатой кости, патологический перелом кости, остеомиелит с разрушением головки бедренной кости. Возраст больных детей составлял от 11 месяцев до 16 лет. Рентгенологически отчетливо прослеживались патологические изменения и дефекты костных тканей. Общепринятые методики требовали хирургического вмешательства. В трех случаях требовалось протезирование с заменой костной ткани, что влекло за собой инвалидность и нарушение общего развития опорно-двигательного аппарата ребенка. В двух других случаях ранее было проведено оперативное лечение кисты. После операции наблюдался рецидив и дальнейшее прогрессирование заболевания.

Комплексное лечение включало механоактивированный порошок кальция глюконата по 0,5 г 2 — 3 раза в день под язык до полного растворения и для нормализации обмена веществ иммунобиологический препарат «ВИНИБИС» по 0,65 г 3 раза в день. Курс лечения составлял 15 дней с последующим перерывом в две недели. Длительность таких курсов определялась динамикой протекания болезни. На фоне медикаментозного лечения в первой группе проводили общий массаж и лечебную физкультуру.

В первой группе через 3 месяца у 11 из 15 больных был получен положительный результат, который клинически выражался отсутствием болевого синдрома и нормализацией содержание кальция в сыворотке крови. Четверо больных не явились на контрольный осмотр и более не обращались за медицинской помощью. Можно с определенной долей уверенности полагать, что у них прекратился болевой синдром и соответственно исчез стимул для посещения больницы.

Во второй группе в апреле 2004 г. длительность лечения составила от 6 до 10 месяцев. Во всех случаях наблюдалась положительная динамика. Для 9 пациентов из 11 по характеру восстановления костных тканей можно прогнозировать дальнейшее улучшение до полного излечения. Двое детей, у которых наблюдался рецидив после оперативного лечения, в настоящее время полностью здоровы.

Таким образом, предварительная клиническая апробация показала перспективность применения механически модифицированных лекарственных форм препаратов кальция при консервативном лечении гипокальциемий, остеопороза различного генеза, остеомиелита, костной кисты, остеохондроза, остеохондропатии, травмотологических и патологических переломов конечностей и тому подобное. Предлагаемый способ лечения исключает раннее хирургическое вмешательство, устраняет дефекты костных тканей без их протезирования или пломбировки за счет улучшения биоусвояемости применяемых механоактивированных препаратов кальция.

В целом полученные результаты носят предварительный характер и могут стать начальным звеном в разработке нового консервативного способа терапии костной патологии. Для понимания природы повышенной биоусвояемости механоактивированных препаратов Са необходимы дальнейшие физические, химические, биохимические исследования и сравнительный клинический анализ эффективности обычных препаратов с механоактивированными. Предполагается продолжение совместных исследований ФТИ УрО РАН, ИГМА и РДКБ в данном направлении с участием в клинической апробации Центра коррекции стопы и осанки Ижевска во главе с кандидатом медицинских наук С.Б. Шишкиным. Результаты работы обсуждались с академиком В.А. Болдыревым на международной конференции «Механохимический синтез и спекание» в июне 2004 г. в Новосибирске. Академик В.В. Болдырев не только проявил интерес к полученным результатам и поддержал это направление, но и решил инициировать в Новосибирске исследования по механоактивации кальциевых препаратов.


    


Г. Коныгин, старший научный сотрудник Физико-технического института УрО РАН, кандидат физико-математических наук.
г. Ижевск
На снимке творческий коллектив (слева направо): Г.Н. Коныгин, П.Н. Максимов, Е.П. Елсуков, О.В. Яковенко (ст. преподаватель ИГМА), А.Н. Филиппов (травматолог-ортопед 2 детской городской клинической больницы), Н.С. Стрелков, В.В. Поздеев. (травматолог-ортопед 2 детской городской клинической больницы). 



 

26.01.05

 Рейтинг ресурсов